Abstracting and Indexing

Volume 2 Issue 2
Issue Period: 6 Months
Publish Date: 2025-12-21
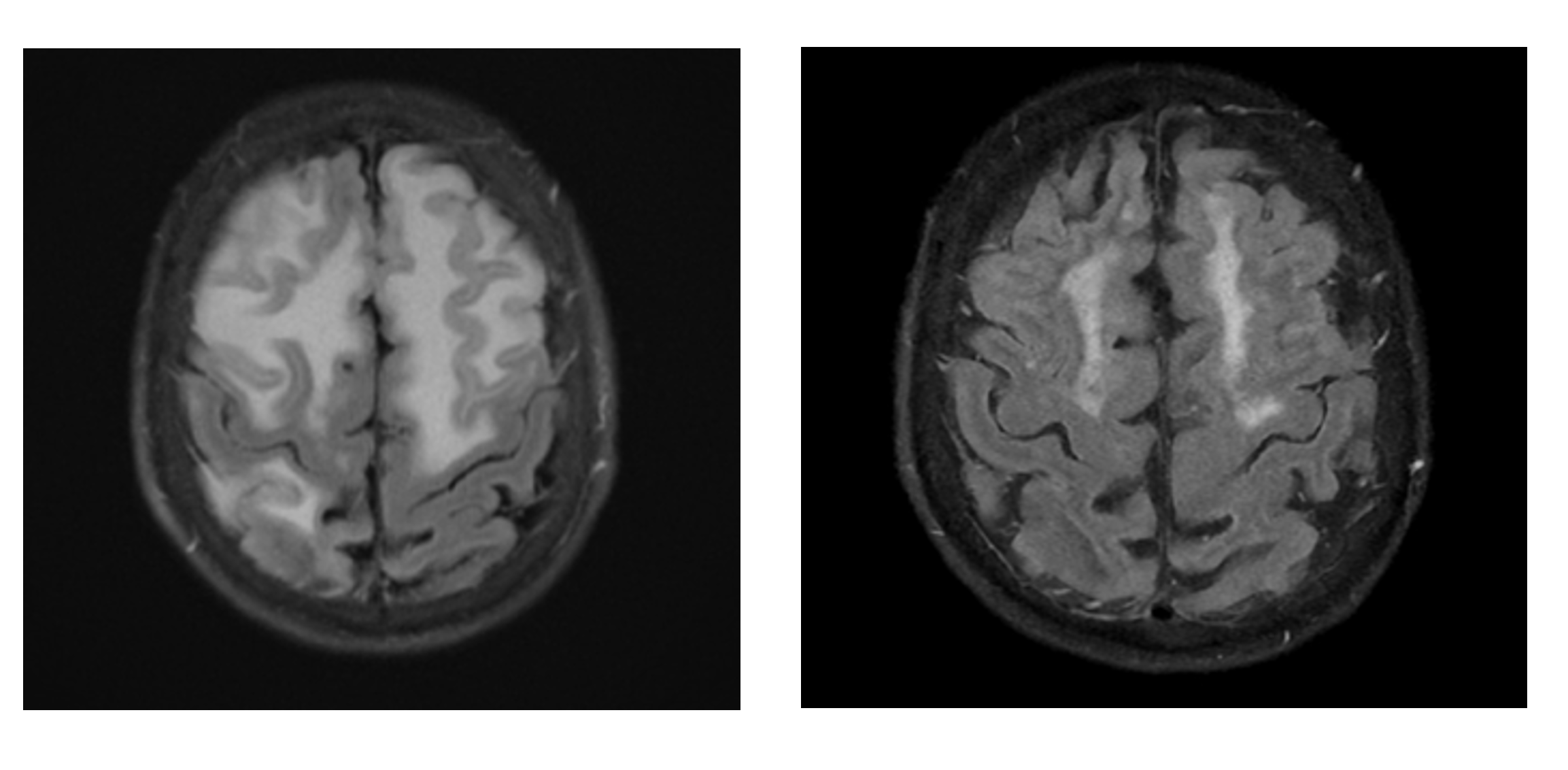
Case Report: Inflammatory Cerebral Amyloid Angiopathy - Recognizing a Treatable Form of Cerebral Vasculitis

Garrett Harris1, Chimaobi Ochulo2, and Arjun Athreya1

Pages: 1-6

Views: 9

Downloads: 30

DOI URL: https://doi.org/10.71117/JNNP.2025.2201

img
Topical Rifampin and Infection in Open Neural Tube Defects

Atef hulliel

Pages: 01-05

Views: 3

Diagnostic Accuracy of Meningitis/Encephalitis (ME) Panel for Central Nervous System Infections: An Updated Meta-Analysis

Ralph Louie Bautista

Pages: 6-14

Views: 12

CNS Tuberculosis in Unusual Locations: A Case Series

Keir Philip Lagrana Lope

Pages: 14-21

Views: 2

Efficacy of Topiramate in Binge Eating Disorder: A Meta-analysis

Keren Keziah Vanguardia

Pages: 24-34

Views: 19

The Role of Dual Orexin Receptor Antagonists (DORAs) in Preventing Delirium: AMeta-analysis and Systematic Review

Dulce Corpuz Gregorio-Talavera

Pages: 35-47

Views: 16

Repetitive Trans-cranial Magnetic Stimulation in Treatment of Alcohol Dependence: A meta-analysis and systematic review

Charles Niven Fernan

Pages: 42-56

Views: 9

Infectious Diseases as a Potential Risk Factor for Parkinson’s Disease and Parkinsonism: A Scoping Review

Paula Abola 1* , Dita Cerina 2

Pages: 1-13

Views: 15

Downloads: 26

DOI URL: https://doi.org/10.71117/JNNP.2025.2202

img
Supporting Patients with Parkinson’s Disease in Latvia Through Online Education

Paula Abola1

Pages: 1-3

Views: 19

img